top of page

Sobre mi
En 1999 empecé mi carrera como odontólogo, en la Universidad Autónoma de Guadalajara (UAG). Después de esto practique como cirujano dental general durante 8 años. Despues me especialice en Endodoncia. Me he mantenido actualizado mediante diversos cursos y platicas, para darle el mejor trato a mis pacientes.
Mas recientemente realize un diplomado en colocación de implantes en el Instituto "Núcleo", (Los Algodones, BC.)
Servicios
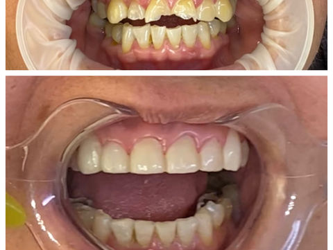
Implante dental con corona.
Método mas eficiente y longevo para conservar su diente.
Remoción de caries y restauraciones en una sola cita.
Comentarios de pacientes



Galeria

Contact
bottom of page













